ظلت في ظهره عامين .. استخراج إبرة تنجيد من مريض ببنها الجامعي

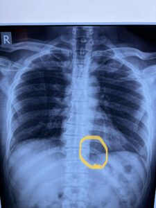
تمكن فريق جراحي بمستشفى بنها الجامعي بمحافظة القليوبية، في استخراج إبرة تنجيد دخلت عن طريق الخطأ في ظهر مريض خلف القفص الصدري مباشرة، والتي ظلت بمكانها مدة عامين.
وأوضحت المستشفى، في بيان لها اليوم، أنه جرى إجراء جراحة بفتح جراحي صغير 3 سم، استخراج “إبرة تنجيد”، دخلت بطريق الخطأ في ظهر مريض خلف القفص الصدري مباشرة، حيث تركها المريض لمدة سنتين خوفا من إجراء العملية.
وتابعت، أنه تم حجز المريض بالقسم وتجهيزه لعملية سريعة، جرى فيها الاستعانة بجهاز الأشعة الملحق بغرف العمليات (C-arm)، حيث تم تحديد مكان الإبرة والفتح الجراحي عليها مباشرة، واستخراجها بنجاح ،ولكن على هيئة قطع منكسرة بسبب الصدأ، نظرا لبقائها طوال هذه المدة.
وأجرى العملية الدكتور محمد الجزار أستاذ جراحة القلب والصدر، والدكتورة فاطمة محمود طبيب مقيم جراحة القلب والصدر، وأخصائية التخدير الدكتورة نعمة محمد، تحت إشراف الدكتور محمد أبو النصر مدير العمليات الموحدة بالمستشفيات الجامعية لتنسيقه ودعمه وتيسير العقبات من أجل إجراء هذه العملية.
